口腔外科 Oral Surgery
上部キャッチコピーまたは文章上部キャッチコピーまたは文章上部キャッチコピーまたは文章上部キャッチコピーまたは文章
親知らずの診断、抜歯
親知らずで痛みや腫れを抱えている方へ
下記のような場合には、抜歯をすることをお勧めしています。
- 虫歯が神経まで到達している場合
- 何度も腫れや痛みを繰り返して、その間隔が短くなってきている場合
- 親知らずが原因で歯並びが乱れている場合で、歯並びの保全を優先したい場合
- 横に生えたり、磨きにくい状態である場合
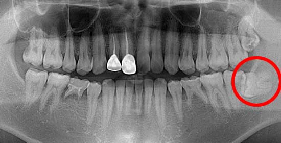
術前後のレントゲン写真
このように横に生えていると、7番目の歯と親知らずの隙間に細菌が溜まり、虫歯になったり、周囲の歯肉が腫れたりする原因となります。
術 前
術 後
顎関節症
顎関節症の原因
顎関節症は様々な要因が重なって起こります。
かみ合わせの問題、歯ぎしり、悪習癖(かみ癖や食いしばり)、ストレスなどによって過度な負担があごにかかると、それらが重なり合って発症すると考えられています。
治療方法
顎関節症は、その症状によっていくつかに分類され、それぞれ治療法が異なります。
| 分類 | 主な症状・状態 | 主な治療法 |
|---|---|---|
| Ⅰ 型 | 主に咀嚼筋(かむときに使う筋肉)に痛みが生じます。また、口をあける筋肉の、あごの後ろにある「顎二腹筋」や、首のまわりの筋肉が痛むこともあります。 | 薬物療法やレーザーを利用して痛みを抑える事が可能です。スプリントによる治療を行います。 |
| Ⅱ 型 | 顎関節周辺に大きな負荷がかかって、炎症が生じ、痛みが出てきた状態です。 | 薬物療法やレーザーを利用して痛みを抑える事が可能です。スプリントによる治療を行います。 |
| Ⅲ 型 | 口を開閉すると「コキコキ」と音がしたり、口を開けにくくなったりします。
|
スプリント治療を行います。 ⅢC-型・ⅢC+型 薬物療法やレーザーを利用して痛みを抑える事が可能です。スプリントによる治療、円板整位運動療法、悪癖除去を行います。 |
| Ⅳ 型 | 下顎の骨の上部が削り取られたり、出っ張ったりし(下顎頭の変形)、口を開閉すると 「ギリギリ」と音 がしたり、 炎症による痛み が生じたりします。 | 当院では、顎の関節を撮影できるレントゲンがございます。このレントゲンにより画像診断を行って、重度の外科処置が必要な場合には、大学病院へ紹介することができます。![]() |
レーザーを使用した外科手術
小帯切除口腔前庭拡張治療例
レーザーを使用して、小帯と呼ばれるすじを切って、歯茎の部分を広げる治療です。
| BEFORE | AFTER |
|---|---|
|
|
